Services & Treatments

Smile Designing


Smile Design Techniques

Here's a brief description of some of the more common techniques used by cosmetic dentists to correct or enhance a person's smile:

Whitening

A chemical application with a peroxide base is applied directly to the teeth to remove minor staining and discoloration.

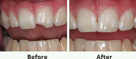
Bonding

An acrylic material is applied to a tooth that can be shaped and colored to match the natural look of the patient's other teeth. Primarily used for chipped, broken or decayed teeth, as well as to alter tooth shape with minimum tooth removal.



Enamel Shaping

The removal of minute amounts of enamel, the tooth's outer layer, to improve the look of the shape of a tooth.



Veneers

A thin shell of tooth-colored material, usually porcelain, custom-designed to be affixed to the front surface of the teeth.



veneers-image veneers1-image

Crowns and Bridgework

A technique that covers heavily damaged teeth or replaces missing teeth. They usually have an inner core for strength and an outer porcelain shell for the feel and appearance of real teeth.

crowns and bridgework-image crowns and bridgework-image

Dental Implants

As an alternative solution for replacing missing teeth, titanium posts are surgically implanted in the patient's jaw. Artificial tooth replacements are connected to the posts to restore missing tooth above the gum.



implants-image implants1-image

Gum Contouring

A minor surgical procedure altering the position of the gum tissue and sometimes the underlining bone, to improve the look and regularity of the gingival line around the teeth.


gum-image