Services & Treatments

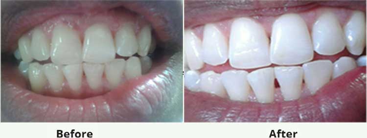
Teeth Whitening (Bleaching)

Tooth whitening can be a very effective way of lightening the natural colour of your teeth without removing any of the tooth surfaces. It may lighten the existing shade.

It’s a very harmless procedure usually lasting for approximately an hour.

There are a number of reasons why you might get your teeth whitened. Everyone is different; and just as our hair and skin colour vary, so do our teeth.

Very few people have brilliant-white teeth, and our teeth can also become more discoloured as we get older.

Your teeth can also be stained on the surface by food and drinks such as tea, coffee, red wine and blackcurrant. Smoking can also stain teeth.

‘Calculus' or tartar can also affect the colour of your teeth. Some people may have staining under the surface, which can be caused by certain antibiotics or by tiny cracks in the teeth which take up stains.

Teeth Whitening (Bleaching) service